График работы клиник в период новогодних праздников: 31 декабря, 1, 2 и 3 января — выходные дни. С 4 января клиники работают в обычном режиме.

Максимчук Анна Валерьевна

Главный врач клиники Вэладент Джуниор на Коммуны, детский стоматолог
27 лет
опыт работы

Анна Валерьевнаопытный детский стоматолог-терапевт. За 27 лет она сталкивалась с самыми разными случаями, но с каждым успешно справилась. Профессионализм и внимательность Анны Валерьевны всегда нравятся родителям, а чуткость и аккуратность неизменно располагают к себе детей. Анне Валерьевне не страшно доверить здоровье своего ребенка — он точно останется довольным после любой процедуры!

Оставить отзыв

Образование и повышение квалификации

  • Базовое образование: «Ижевская государственная медицинская академия» по специальности «Стоматология» в 1998 году.
  • Дополнительное образование
  • В 2008 году получила сертификат семинара «Композиционные материалы и СИЦ 3M ESPE в практике стоматолога-терапевта».
  • В 2009 году получила сертификат семинара по отбеливанию зубов и мастер-класс часовой клинической системой Zoom.
  • В 2012 году получила сертификат практического семинара «Эстетическая реставрация».
  • В 2013 году получила сертификат семинара «Современные материалы и технологии 3M ESPE в терапевтической стоматологии».
  • В 2015 голу получила сертификат семинара «Лечение пульпитов и периодонтитов в детской стоматологии».
  • В 2016 году проходила курс «Пародонтология в ежедневной клинической практике».
  • В 2017 году получила сертификат семинара «Трехмерная лучевая диагностика в терапевтической стоматологии».
  • В 2017 году проходила обучение по программе «Формирование корневого канала с последующей обтурацией».
  • В 2017 году проходила курс «Дентальная травматология в детской стоматологии».
  • В 2018 году проходила практический курс повышения квалификации по миофункциональной ортодонтии «Диагностика и лечение миофункциональных нарушений».
  • В 2019 году проходила лекционный курс «Современное эндодонтическое лечение».
  • В 2019 году получила сертификат семинара «Особенности работы со "сложными" детьми на стоматологическом приеме».
  • В 2019 году получила сертификат практического курса «Реставрация молочных зубов».
  • В 2019 году получила сертификат семинара «Цифровая фотография в стоматологии. Основы».
  • В 2019 году получила сертификат семинара «Место седации и общего обезболивания в современной детской стоматологии».
  • В 2020 году участвовала в Третьем Международном Форуме по детской стоматологии.

Фото работ

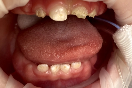
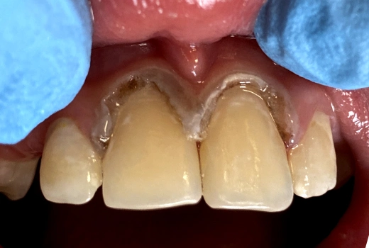
Фото после
Фото до
Лечение кариеса у детей
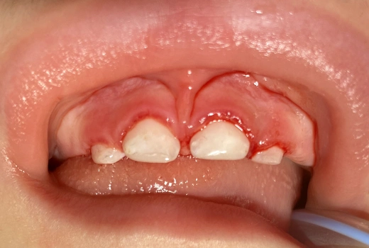
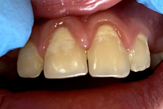
Фото после
Фото до
Лечение кариеса у детей
Фото после
Фото до
Лечение кариеса у детей

Цены

Детская стоматология
Детская стоматология
Консультация детского стоматолога (Максимчук А.В.)
от 750 ₽
Кариес эмали молочных зубов (Максимчук А.В.)
от 5 400 ₽
Кариес дентина молочных зубов (Максимчук А.В.)
от 6 790 ₽
Кариес эмали постоянных сформированных зубов (Максимчук А.В.)
от 7 190 ₽
Лечение пульпита молочных зубов (Максимчук А.В.)
от 8 690 ₽
Консультация детского стоматолога
от 650 ₽
Лечение зубов под наркозом у детей (30 минут)
от 6 700 ₽
Применение седации (30 минут)
от 2 710 ₽
Кариес эмали молочных зубов
от 4 700 ₽
Кариес дентина молочных зубов
от 5 900 ₽
Профилактический осмотр
от 650 ₽
Кариес эмали постоянных сформированных зубов
от 6 250 ₽
Кариес дентина постоянных сформированных зубов
от 6 450 ₽
Лечение пульпита постоянных зубов, 1 канал (Максимчук А.В.)
от 19 040 ₽
Лечение пульпита молочных зубов
от 7 550 ₽
Лечение пульпита постоянных зубов (1 канал)
от 16 550 ₽
Кариес дентина постоянных сформированных зубов (Максимчук А.В.)
от 7 420 ₽
Эстетическая реставрация молочных зубов
от 3 400 ₽
Удаление молочного зуба (подвижного)
от 1 200 ₽
Профессиональная гигиена полости рта для детей (0-9 лет)
от 4 100 ₽
Профессиональная гигиена полости рта для детей (10-14 лет)
от 4 800 ₽
Профессиональная гигиена полости рта для детей (с 15 до 18 лет)
от 5 300 ₽
Герметизация фиссур
от 4 400 ₽
Подрезание уздечки языка (до 3 месяцев)
от 3 800 ₽
Пластика уздечки языка (с 5 лет)
от 8 400 ₽
Пластика уздечки губы (лазер)
от 5 800 ₽
Лечение на элайнерах
от 400 000 ₽
Брекеты для подростков от 12 лет
от 68 500 ₽

Отзывы

Виктор
7 Август 2024
Детская стоматология
Мне понравилось, было удобно и не очень больно, а еще дают подарки. Спасибо Анне Валерьевне
Пациент
21 Июль 2024
Детская стоматология
Дочке зубки лечим только у Анны Валерьевны. Набегались уже по поликлиникам, не везло нам там с врачами, решили, что лучше платно, но будем спокойны, что ребенок не пугается и ему не больно. Анна Валерьевна нас покорила с первого визита. Такого внимательного, доброго отношение я нигде не встречала. Всегда аккуратная работа и забота о маленьком пациенте. Доча теперь только у нее соглашается зубки лечить. Это показатель, я считаю. Спасибо огромнейшее Анне Валерьевне.
Евгения Вячеславовна
13 Июнь 2024
Детская стоматология
Прошли 6 частных стоматологий в поисках врача, который сможет нашей дочери (4,9 года) вылечить зубки. Она наотрез отказывалась лечить, как простым способом, так и была попытка "веселящим газом", маску не дала даже одеть. Приняли решение лечить под наркозом. Дорого это одно, самое главное - страшно. Столько написано и рассказано случаев про летальные исходы. Но зубик (1 пульпит) болит - делать просто нечего. Вырывать тоже не вариант, как объяснила врач нужно сохранять зубки, чтоб потом, когда будет смена на постоянные, не произошло смещения (это уже брекетами грозит). Ну так вот. Мы решились лечить зубки под наркозом в клинике Вэладент Джуниор. Врач Максимчук А.В. Я зашла вместе с дочкой, ей дали дыхнуть маску, буквально на втором вдохе дочка начала засыпать. Я вышла и мы с мужем ждали 2 часа. Было вылечено: 1 пульпит и 5 кариесов. Потом меня позвали в кабинет, дочка начала приходить в себя. Через минут 20 мы уже поехали домой. Через пару часов дочка уже скакала по квартире. Спасибо врачам за лечение! Будем надеяться, что пломбочки продержатся долго, а новые дырочки не появятся! P. S. Домой привезли кучу подарочков! За что отдельное спасибо.
Князькина Юлия Валерьевна
6 Июнь 2024
Детская стоматология
Добрый день!только вернулись с клиники велладент.малой спит.я спешу оставить отзвыв на оценку 10 баллов!я мама сынули.на 3.5года.до сегодняшнего дня с зубками была проблема проблем.14зубов пораженных кариесом и пульпитом.мы сами со Златоуста.у нас лечением молочнвх зубов .под наркозом.не выполняют.стоял выбор между 2клиниками стомпрактика и ВЕЛЛАДЕН.стоимость насчитали 78000 стом и 57000велла.но.склонился выбор на гуру своего дела МАКСИМЧУК АННУ ВАЛЕРЬЕВНУ.она обнаружила проблему там.где другие специалисты распознать не смогли!на 9 назначили наркоз.прибыли пораньше.нпс встретила бригада из 5человек.анестезиологи .сама доктор.немного рассказали как все будет проходить.напрчжение спало немного.посли анестезии анестезилог вышел.сказалУСНУЛ.все идет плану..2.5 часа тревоги и .вот.все позади.отходили лучше.чем я предполагала.15мин покпнючил.попил водв и в путь.поспал мин 40.и больше не вспомнал.хотя у нас поставили коронку и удалили 4зуба.покушал без проблем!НИЗКИЙ ВАМ ПАКЛОН И ОГРОМНАЯ БЛАГОДАРНОСТЬ.ВЫ ДОКТОРА .ОТ БОГА!НЕ ЗАТЯГИВАЙТЕ.МОЛОЧНЫЕ ЗУБЫ ТРЕБУЮТ ЛЕЧЕНИЯ!ЗДОРОВЫХ ВАМ И СЧАСТЛИАВХ УЛЫБОК!
Попов Виктор
26 Апрель 2024
Детская стоматология
В октябре 2018 года, мы впервые с младшим сыном (2 года) пошли к стоматологу (в г.Магнитогорске) и результат осмотра прозвучал как приговор: лечить нужно 8 зубов, в т.ч. 1 пульпит! Мы были расстроены, но нам сказали, что самое гуманное и разумное лечение такого объема, учитывая возраст ребенка - лечение под наркозом. Но увы, стоматологические клиники оказывающие такие услуги - единицы. Одна из них - ВэлаДэнт Джуниор. Мы наслышаны, про эту клинику, поэтому сразу же запланировали визит в г.Челябинск. В итоге 17.11.2018г. мы с нашим малышом вылечили за 1 визит 9 зубов (как уже оказалось) 7 кариесов и 2 пульпита. Операция длилась 2 часа 15 минут, сын ничего не понял, что произошло. Наш врач Максимчук Анна Валерьевна - отличный специалист, которая творит просто чудеса! В итоге мы довольны результатом и всем рекомендуем! Если бы жили в Челябинске, то ни в какие другие вообще бы не ходили! Отдельное спасибо куратору - Надежде, которая оперативно решала все наши вопросы и просьбы, зачастую не в рабочее время! Спасибо всему Вашему замечательному коллективу!
Евгения
9 Март 2024
Детская стоматология
Сын, 11 лет. Оооочень боится лечить кариес. Две первые попытки оказались безрезультатными, первый раз дал немного убрать старую пломбу, во второй раз не дал даже почистить зуб щеткой. Сегодня была третья попытка, сменили врача, попали к МАКСИМЧУК АННЕ ВАЛЕРЬЕВНЕ. Перед лечением обговорила с врачом страхи ребенка и его поведение (немного манипулирует )))), после чего Анна Валерьевна забрала его одного (без родителей) в кабинет. Томительно ожидание - получится ли в этот раз.... И, вау ля!!!! Через 20 минут сын вышел с высоко поднятой головой, гордый собой, что он вылечил зуб и даже удалил 2 молочных зуба. И это у ребенка, который панически боялся стоматолога! Лечение происходило под седацией (веселящий газ), что ему безусловно помогло. И конечно же тактика работы врача, которая смогла найти к нему подход. Сын сказал, что теперь будет ходить только к Анне Валерьевне. Спасибо Вам большое!
Записаться по Telegram