Лучшая сетевая стоматология 2022 года по результатам народного голосования Комсомольской правды

Профессиональная гигиена полости рта в Челябинске

Эффективная профилактика заболеваний полости рта
Профессиональная гигиена полости рта в Челябинске
Акция
Экспертная диагностика – 1000₽. В стоимость входит консультация по имплантации или установки брекетов + 3D-снимок. Количество мест на прием ограничено. Действует до 31 декабря.
Экспертная диагностика – 1000₽. В стоимость входит консультация по имплантации или установки брекетов + 3D-снимок. Количество мест на прием ограничено. Действует до 31 декабря.
Акция
Имплантация «Готовый зуб» на системе Osstem — 57 000 ₽
Имплантация «Готовый зуб» на системе Osstem — 57 000 ₽

Преимущества

Практикующие врачи-эксперты с высокой квалификацией
Практикующие врачи-эксперты с высокой квалификацией
У нас работают доктора с выдающимся клиническим опытом, которые могут гарантировать превосходный результат даже в самых сложных клинических случаях
Лучшие практики и технологии современной стоматологии
Лучшие практики и технологии современной стоматологии
Не используем дешевые аналоги. Заключаем прямые договора с ведущими производителями стоматологического оборудования и материалов
Расширенная гарантия на услуги
Расширенная гарантия на услуги
Мы уверены в профессионализме наших врачей, оборудовании и используемых материалах, и даем гарантию на все виды услуг. На имплантаты — пожизненная гарантия
Профессиональная гигиена полости рта

Здоровье полости рта зависит в том числе от уровня гигиены. Самостоятельно трудно удалить скопления налета и зубной камень. Профессиональная гигиена полости рта — специальная процедура для профилактики кариеса и поддержания уровня чистоты и здоровья зубов.
Процедура необходима всем взрослым и детям в возрасте от 3-х лет.
 

Как появляется налет и зубной камень

Неправильное питание и некачественная гигиена приводят к скоплениям бактерий. Постепенно они «пленкой» покрывают зуб, образовывая налет. Он твердеет и перерастает в зубной камень. Внешне зубы становятся блеклыми и могут пожелтеть. Если долго ничего не предпринимать, появляется кариес. Он может развиваться до более опасных состояний — пульпита или периодонтита. 
Самостоятельно избавиться от налета и зубного камня трудно. Поэтому необходима помощь гигиениста.

Когда проводят профессиональную гигиену полости рта

Перед лечением по назначению врача

1 раз в полгода взрослым

1 раз в 3 месяца при ношении брекет-систем

Детям по индивидуальным показаниям с 3-х лет

График процедур можно составить вместе с гигиенистом клиники Вэладент исходя из индивидуальной ситуации и показаний.

Показания для профессиональной гигиены полости рта

Неприятный запах изо рта

Кровоточивость десен

Потемнение эмали

Появление налета

Зубной камень

Как проходит профессиональная гигиена полости рта в Вэладент

Диагностика
Диагностика

Специалист проводит осмотр перед процедурой для диагностики состояния полости рта.

Удаление зубного камня и налета
Удаление зубного камня и налета

На зубы наносится специальный состав, показывающий места скопления налета. Его удаляют с помощью аппарата Air-flow. Ультразвуковой скейлер удаляет отложения с поверхности зубов в труднодоступных местах. Воздействие скейлера безболезненно, безопасно и эффективно.

Полировка поверхностей
Полировка поверхностей

Обработанные поверхности зубов с помощью специальной насадки и пасты полируются для профилактики возникновения налета и зубного камня.

Реминерализация
Реминерализация

Специальные составы наносятся на зубы для укрепления эмали.

Профессиональная гигиена полости рта безболезненная процедура. Если Вы ощущаете дискомфорт, сообщите об этом гигиенисту клиники Вэладент. 

После приема гигиенист подробно расскажет о правильном домашнем уходе и средствах для эффективной профилактики кариеса и других заболеваний полости рта.

Цены на гигиену полости рта

Гигиена полости рта
Гигиена полости рта
Консультация по отбеливанию
от 520 ₽
Профессиональная гигиена полости рта «Classic»
от 5 900 ₽
Профессиональная гигиена полости рта «Paro»
от 11 300 ₽
Профессиональная гигиена полости рта для детей
от 4 100 ₽
Отбеливание зубов «Zoom 4»
38 000 ₽
Профессиональная гигиена полости рта для беременных
от 5 580 ₽

Гайды

Гайд по пульпиту

Гайд по пульпиту

Всё, что нужно знать, про лечение пульпита
Гайд по удалению зубов мудрости

Гайд по удалению зубов мудрости

Всё, что нужно знать, про удаление зубов мудрости
Гайд по имплантации

Гайд по имплантации

Все, что нужно знать до и после установки импланта.
Гайд по винирам

Гайд по винирам

Ответы на самые популярные вопросы про виниры от стоматологов
Гайд по брекетам

Гайд по брекетам

Все, что нужно знать про исправление прикуса на брекет-системах
Гайд по элайнерам

Гайд по элайнерам

Что такое элайнеры? Чем они отличаются от брекетов? И другие вопросы, на которые отвечают врачи-эксперты.

Наши работы

Фото после
Фото до
Детская гигиена полости рта
Фото после
Фото до
Детская гигиена полости рта
Фото после
Фото до
Детская гигиена полости рта
Фото после
Фото до
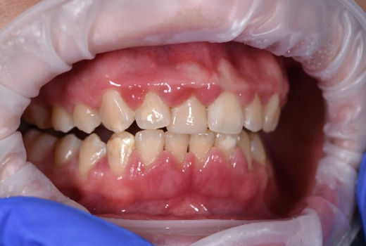
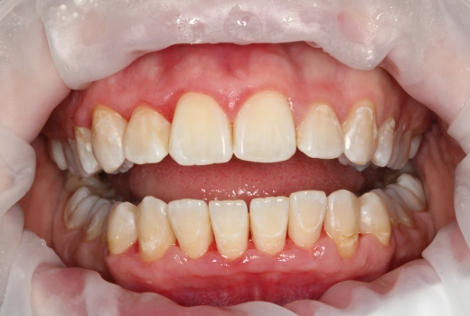
Гигиена полости рта
Фото после
Фото до
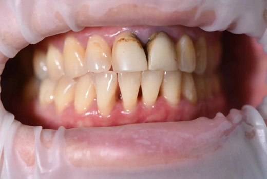
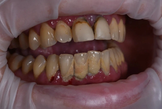
Гигиена полости рта
Фото после
Фото до
Гигиена полости рта
Фото после
Фото до
Гигиена полости рта
Фото после
Фото до
Гигиена полости рта
Фото после
Фото до
Гигиена полости рта

Наши врачи

Наша команда — наше преимущество.
Мы собрали команду профессионалов: ответственных, компетентных, любящих своих пациентов. Специалисты Вэладент — это эксперты в своей области, обладающие глубокими научными знаниями и мастерством.

Мы в СМИ

До чего стоматология дошла

До чего стоматология дошла: как искусственный интеллект помогает врачу-имплантологу и ортопеду

Даже безнадежный зуб можно восстановить: как спасают улыбки в клинике «Вэладент»

Интервью с главным врачом, стоматологом-ортопедом Евгением Кудряшовым

Новые зубы по старым ценам: в клинике «Вэладент» заморозили стоимость имплантации

И сделали большой запас импортных материалов

Записаться на прием

Записаться на прием через мессенджер
Напишите в любой мессенджер, наш специалист ответит на все вопросы и запишет вас на прием.
8 (351) 246-77-77
Записаться по Telegram