Металлические брекеты в Челябинске

Преимущества
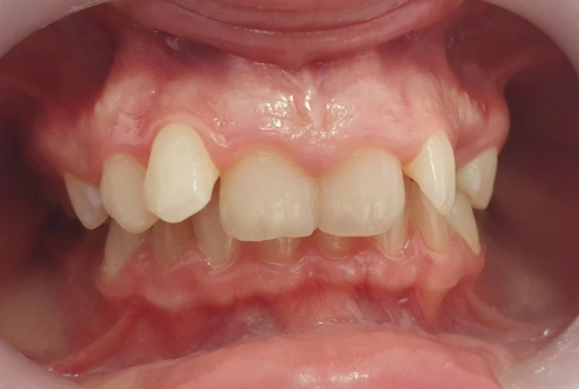
Брекеты — ортодонтическая конструкция для исправления нарушений прикуса и патологий зубного ряда. Конструкции могут отличаться материалом и способом крепления.
Металлические брекеты — классический вариант. Их особенность — высокая эффективность при сложных случаях и небольшая стоимость. На консультации в клинике экспертной стоматологии Вэладент можно подробней узнать о вариантах ортодонтических конструкций в зависимости от индивидуальной ситуации.
Показания к установке брекетов
Неправильный прикус
Неправильное положение зубов в челюсти
Скученность зубов
Большие промежутки между зубами
Асимметрия лица
Проблемы с речью или дыханием
Подготовка к имплантации, установке виниров или коронок
Боли и щелчки в челюстных суставах
К установке брекетов есть противопоказания. О них подробно расскажет стоматолог-ортодонт клиники Вэладент.
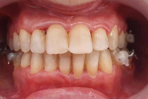
Особенности металлических брекетов
Подходят для самых сложных случаев
Высокая прочность
Простой уход
Заметны на зубах
На консультации специалист расскажет о возможных нюансах выбора металлических брекетов и подскажет альтернативные варианты конструкций.
Этапы установки металлических брекетов
Диагностика
На этом этапе ортодонт подробно знакомится с индивидуальной ситуацией и назначает необходимые исследования. По их результатам специалист составит подробный план лечения.
Подготовка
Перед установкой брекетов обязательно проводится профессиональная гигиена полости рта и лечение зубов при необходимости.
Установка брекетов
Сама установка занимает около часа и проходит безболезненно.
Коррекция
По индивидуальному расписанию необходимо посещать ортодонта для контроля лечения.
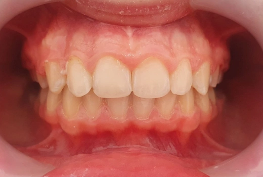
Снятие брекетов
После достижения результатов лечения брекеты снимают. Это безболезненная процедура.
Ретенционный период
Стоматолог установит ретейнеры на внутреннюю сторону зубов. Они будут удерживать зубы в правильном положении без брекетов.
Записаться на прием
Рекомендации по уходу за металлическими брекетами
- Соблюдать диету по рекомендации стоматолога. Некоторые продукты могут повредить брекеты, поэтому их лучше исключить: орехи, семечки, карамель, чипсы и сухарики, жевательные резинки и т.д.
- Посещать регулярно процедуру профессиональной гигиены полости рта. С брекетами сложнее поддерживать гигиену полости рта, поэтому посещать гигиениста нужно чаще, чем обычно — в среднем раз в 3-4 месяца.
- Следить за домашней гигиеной. Дома тоже необходимо внимательно относится к чистке зубов и приобрести дополнительные средства и инструменты: ирригатор, ершики, зубная нить и т.д.
Стоматолог-ортодонт клиники Вэладент подробно расскажет обо всех рекомендациях на период лечения на консультации и после установки брекетов.
Цены на металлические брекеты
Брекеты
Вопрос-ответ
Гайды
Наши работы
Наши врачи
Мы собрали команду профессионалов: ответственных, компетентных, любящих своих пациентов. Специалисты Вэладент — это эксперты в своей области, обладающие глубокими научными знаниями и мастерством.