Лучшая сетевая стоматология 2022 года по результатам народного голосования Комсомольской правды

Имплантация на системе Nobel Biocare в Челябинске

Швейцарские импланты премиум-класса Nobel Biocare
 Имплантация на системе Nobel Biocare в Челябинске
Акция
Экспертная диагностика – 1000₽. В стоимость входит консультация по имплантации или установки брекетов + 3D-снимок. Количество мест на прием ограничено. Действует до 31 декабря.
Экспертная диагностика – 1000₽. В стоимость входит консультация по имплантации или установки брекетов + 3D-снимок. Количество мест на прием ограничено. Действует до 31 декабря.
Акция
Имплантация «Готовый зуб» на системе Osstem — 57 000 ₽
Имплантация «Готовый зуб» на системе Osstem — 57 000 ₽

Преимущества

Практикующие врачи-эксперты с высокой квалификацией
Практикующие врачи-эксперты с высокой квалификацией
У нас работают доктора с выдающимся клиническим опытом, которые могут гарантировать превосходный результат даже в самых сложных клинических случаях
Лучшие практики и технологии современной стоматологии
Лучшие практики и технологии современной стоматологии
Не используем дешевые аналоги. Заключаем прямые договора с ведущими производителями стоматологического оборудования и материалов
Расширенная гарантия на услуги
Расширенная гарантия на услуги
Мы уверены в профессионализме наших врачей, оборудовании и используемых материалах, и даем гарантию на все виды услуг. На имплантаты — пожизненная гарантия

Записаться на прием

Ответим на все вопросы и подберем удобное время
Имплантация

Имплантация — это восстановление зуба с помощью установки «искусственного корня» с фиксацией коронки на нем. Разные системы имплантации имеют свои особенности и рассчитаны на разные случаи сложности. На консультации у стоматолога-имплантолога в клинике экспертной стоматологии Вэладент можно узнать, какая система имплантации подойдет именно Вам.

Система Nobel Biocare

Nobel Biocare — швейцарская система имплантации. Импланты этой системы подходят для многих клинических случаев, в том числе при немедленной нагрузке. Благодаря поверхности, импланты приживаются быстрее и без осложнений для пациента. Инновационные исследования компании позволяют делать имплантацию надежной и комфортной на долгие сроки.

Особенности системы

Шероховатая поверхность импланта для лучшей интеграции в костную ткань.

Высокое содержание фосфора на поверхности импланта ускоряет процесс приживления, особенно при немедленной имплантации.

Высокая биосовместимость благодаря качеству материалов и отсутствию в них примесей.

Широкий модельный ряд для разных клинических случаев.

Восстановление эстетики.

Цены на имплантацию на системе Nobel Biocare

Имплантация зубов
Имплантация зубов
Консультация ортопеда и хирурга-имплантолога + 3D снимок
1590 ₽
Консультация хирурга-имплантолога
от 650 ₽
Консультация челюстно-лицевого хирурга
от 2 500 ₽
Имплантация зубов Osstem (Корея)
от 22 000 ₽
Имплантация зубов Straumann (Швейцария)
от 48 000 ₽
Имплантация «Готовый зуб» на системе Osstem
от 57 000 ₽
Имплантация зубов на системе Astra Tech
от 52 800 ₽
Хирургический шаблон
от 8 500 ₽
Имплантация зубов «Все на 4» на системе Osstem
от 395 000 ₽
Применение наркоза для взрослых (30 минут)
от 8 900 ₽

Новогодний фестиваль улыбок: консультация имплантолога + 3D-снимок – 1000₽

В стоимость входит консультация по имплантации и протезированию + 3D-снимок. Количество мест на прием ограничено.
До 15 декабря

Гайды

Гайд по пульпиту

Гайд по пульпиту

Всё, что нужно знать, про лечение пульпита
Гайд по удалению зубов мудрости

Гайд по удалению зубов мудрости

Всё, что нужно знать, про удаление зубов мудрости
Гайд по имплантации

Гайд по имплантации

Все, что нужно знать до и после установки импланта.
Гайд по винирам

Гайд по винирам

Ответы на самые популярные вопросы про виниры от стоматологов
Гайд по брекетам

Гайд по брекетам

Все, что нужно знать про исправление прикуса на брекет-системах
Гайд по элайнерам

Гайд по элайнерам

Что такое элайнеры? Чем они отличаются от брекетов? И другие вопросы, на которые отвечают врачи-эксперты.

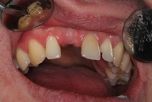
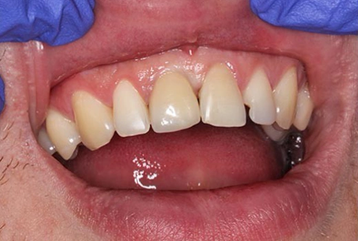
Наши работы

Фото после
Фото до
Имплантация

Наши врачи

Наша команда — наше преимущество.
Мы собрали команду профессионалов: ответственных, компетентных, любящих своих пациентов. Специалисты Вэладент — это эксперты в своей области, обладающие глубокими научными знаниями и мастерством.

Отзывы

Игорь С.
4 Декабрь 2024
Хирургия
Удалял зуб у Татьяны Леонидовны. Очень хороший специалист, все грамотно и без перегибов. Удалили быстро, без боли, качественно. Спасибо
Наталья Н.
28 Ноябрь 2024
Хирургия
Экстренно удаляла зуб мудрости из-за сильной боли. Хотелось, чтобы уже удалили и все прошло. Юлия Андреевна успокоила перед удалением, а саму процедуру вообще не почувствовала. Благодарю врача и клинику за оперативность и бережное отношение к пациентам).
Ульяна Н.
28 Ноябрь 2024
Хирургия
Стоматолог после рентгена отправила к хирургу, потому что зуб надо было уже удалять. Очень переживала. Записали к Никулиной Д.С. Не пожалела. Отличный доктор, успокоила и потом направила потом после удаления к другому спецу. Удалили легко, дольше ходила с ним и терпела.
София В.
20 Ноябрь 2024
Хирургия
Теплякова Ю.А. удаляла мне зуб после того, как с ним начались проблемы. Думала, что будет долго, но вытащили легко буквально за пару минут. Под анестезией вообще ничего не почувствовала. У врача легкая рука) Благодарю)
Виктория Е.
19 Ноябрь 2024
Хирургия
Дарья Сергеевна очень хороший специалист, сразу поняла это на консультации и не переживала. Удалили проблемный зуб без последствий, после удаления дали хорошие и рабочие рекомендации. Спасибо!
Сергей А.
11 Ноябрь 2024
Хирургия
Юлия Андреевна ответственный и умный специалист. Попал к ней совершенно случайно, но очень вовремя. Удалили зуб быстро и под обычной анестезией. Ничего не почувствовал, а зуб уже перед глазами))) Спасибо!
Светлана Н.
11 Ноябрь 2024
Хирургия
Для удаления зуба мудрости обратилась в клинику, попала к Дарье Сергеевне. Очень бережный и приятный врач, была аккуратна и несмотря на мой случай все сделала максимально безболезненно. Очень рада, что попала именно к ней и без проблем удалила последний зуб мудрости)
Елена К.
11 Ноябрь 2024
Хирургия
Егор Викторович - отличный врач! Удалял мой зуб по показаниям, очень успокоил и провел подробную консультацию как быть дальше. Во время самого удаления больше боялась, все прошло очень быстро. Спасибо Вам большое!
Айнагуль
30 Октябрь 2024
Хирургия
Также огромное спасибо ассистенту Павла Сергеевича, к сожалению не знаю фамилии и имени. Очень вежливый, сопровождал меня до кабинета рентгена ( ОПТГ) и обратно.
Айнагуль
30 Октябрь 2024
Хирургия
Хочу поблагодарить также клинику Веладент, что даёт возможность попасть на приём к лучшим врачам города. Я была в первые в Веладенте, всё очень понравилось. Атмосфера располагает расслабиться, современный ремонт, уютно и красиво,всё на высшем уровне. Девочки регистраторы умнички. Вежливые, тактично отвечают на все вопросы. Желаю вашей клинике процветания!

Мы в СМИ

До чего стоматология дошла

До чего стоматология дошла: как искусственный интеллект помогает врачу-имплантологу и ортопеду

Даже безнадежный зуб можно восстановить: как спасают улыбки в клинике «Вэладент»

Интервью с главным врачом, стоматологом-ортопедом Евгением Кудряшовым

Новые зубы по старым ценам: в клинике «Вэладент» заморозили стоимость имплантации

И сделали большой запас импортных материалов

Записаться на прием

Записаться на прием через мессенджер
Напишите в любой мессенджер, наш специалист ответит на все вопросы и запишет вас на прием.
8 (351) 246-77-77
Записаться по Telegram