Лучшая сетевая стоматология 2022 года по результатам народного голосования Комсомольской правды

Протезирование «Все на 4» и «Все на 6» в Челябинске

Восстановление всего зубного ряда с помощью 4 или 6 имплантов
Протезирование «Все на 4» и «Все на 6» в Челябинске
Акция
Экспертная диагностика – 1000₽. В стоимость входит консультация по имплантации или установки брекетов + 3D-снимок. Количество мест на прием ограничено. Действует до 31 декабря.
Экспертная диагностика – 1000₽. В стоимость входит консультация по имплантации или установки брекетов + 3D-снимок. Количество мест на прием ограничено. Действует до 31 декабря.
Акция
Имплантация «Готовый зуб» на системе Osstem — 57 000 ₽
Имплантация «Готовый зуб» на системе Osstem — 57 000 ₽

Преимущества

Практикующие врачи-эксперты с высокой квалификацией
Практикующие врачи-эксперты с высокой квалификацией
У нас работают доктора с выдающимся клиническим опытом, которые могут гарантировать превосходный результат даже в самых сложных клинических случаях
Лучшие практики и технологии современной стоматологии
Лучшие практики и технологии современной стоматологии
Не используем дешевые аналоги. Заключаем прямые договора с ведущими производителями стоматологического оборудования и материалов
Расширенная гарантия на услуги
Расширенная гарантия на услуги
Мы уверены в профессионализме наших врачей, оборудовании и используемых материалах, и даем гарантию на все виды услуг. На имплантаты — пожизненная гарантия
Протезирование «Все на 4» и «Все на 6»

Имплантация «Все на 4» и «Все на 6» считается одноэтапной, поэтому протезирование происходит в ближайшее время после установки опорных 4-х или 6-ти имплантов.
Подробнее об имплантации и протезировании на опорных имплантах можно узнать на консультации у специалистов клиники Вэладент.

Показания

Полное или частичное отсутствие зубов в челюсти

Невозможность костной пластики

Противопоказания к другим методам имплантации

Индивидуальные особенности

Травмы зубов и челюсти

Методы «Все на 4» и «Все на 6» отличаются размером конструкций, резьбой импланта, местом установки и положением в челюсти. Поэтому для выбора метода необходима консультация специалиста и диагностика. На основе этого стоматолог составит план лечения и выберет подходящий метод.

Этапы протезирования «Все на 4» и «Все на 6»

Диагностика
Диагностика

На этом этапе необходимо пройти рентгеновские исследования. На основе всех данных стоматолог составит план лечения.

Подготовка
Подготовка

На этом этапе проводят сопутствующее лечение, профессиональную гигиену и на основе данных исследований создают слепок или 3D-модель изделия с учетом индивидуальных особенностей.

Имплантация и протезирование
Имплантация и протезирование

На этом этапе устанавливаются импланты и фиксируется протез. Установка протеза происходит либо в тот же день, либо в течение нескольких дней после установки имплантов.

После процедуры специалист даст подробные рекомендации на период восстановления и по уходу за протезами в дальнейшем.

Рекомендации

Соблюдать рекомендации по питанию и питью в период восстановления.
Исключить в первые дни физическую активность.
Избегать перегрева и переохлаждения.
Для снятия отека прикладывать холодные компрессы.
Для снятия боли пить болеутоляющее по рекомендации специалиста.

При тревожных и нетипичных симптомах лучше как можно быстрее обратиться к стоматологу.
 

Цены на протезирование

Протезирование зубов
Протезирование зубов
Консультация ортопеда
от 650 ₽
Металлокерамическая коронка на свой зуб
от 17 100 ₽
Керамическая коронка на имплант
от 39 500 ₽
Керамическая коронка на основе диоксида циркония по технологии (CAD/CAM) на свой зуб
от 39 000 ₽
Вкладка
от 21 000 ₽
Виниры (на 1 зуб)
от 36 700 ₽
Имплантация зубов «Все на 4» на Osstem
от 395 000 ₽

Новогодний фестиваль улыбок: консультация имплантолога + 3D-снимок – 1000₽

В стоимость входит консультация по имплантации и протезированию + 3D-снимок. Количество мест на прием ограничено.
До 15 декабря

Вопрос-ответ

Да, безопасно. Благодаря одномоментной имплантации эти метод считается более выгодным в ряде случаев. 4 или 6 имплантов оптимально распределяют нагрузку, протез помогает стабилизировать и обеспечивает неподвижность конструкции.
Необходимо соблюдать базовые принципы гигиены – чистить зубы дважды в день, использовать дополнительные средства (флосс или ирригатор), полоскать рот после еды и посещать стоматолога для профилактических осмотров и профессиональной гигиены.
Для временных протезов используется пластмасса и композитные материалы. Для постоянного — керамокомпозит. Для коронок используются стандартные материалы — металлокерамика, керамика и диоксид циркония.

Гайды

Гайд по пульпиту

Гайд по пульпиту

Всё, что нужно знать, про лечение пульпита
Гайд по удалению зубов мудрости

Гайд по удалению зубов мудрости

Всё, что нужно знать, про удаление зубов мудрости
Гайд по имплантации

Гайд по имплантации

Все, что нужно знать до и после установки импланта.
Гайд по винирам

Гайд по винирам

Ответы на самые популярные вопросы про виниры от стоматологов
Гайд по брекетам

Гайд по брекетам

Все, что нужно знать про исправление прикуса на брекет-системах
Гайд по элайнерам

Гайд по элайнерам

Что такое элайнеры? Чем они отличаются от брекетов? И другие вопросы, на которые отвечают врачи-эксперты.

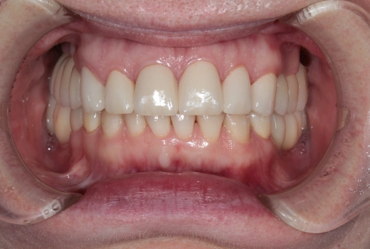
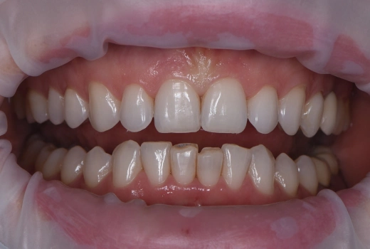
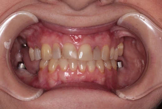
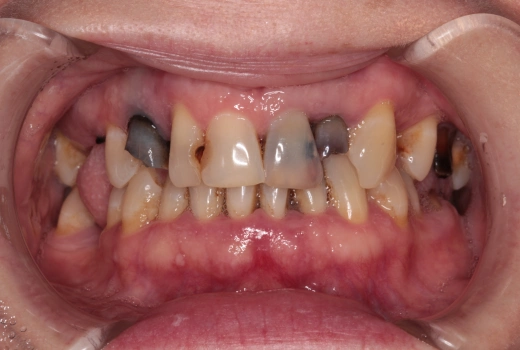
Наши работы

Фото после
Фото до
Протезирование зубов
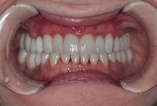
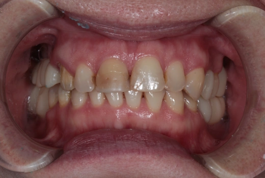
Фото после
Фото до
Протезирование зубов
Фото после
Фото до
Протезирование зубов
Фото после
Фото до
Протезирование зубов
Фото после
Фото до
Эстетическая реставрация зубов
Фото после
Фото до
Эстетическая реставрация зубов
Фото после
Фото до
Эстетическая реставрация зубов
Фото после
Фото до
Эстетическая реставрация зубов
Фото после
Фото до
Эстетическая реставрация зубов
Фото после
Фото до
Эстетическая реставрация зубов
Фото после
Фото до
Эстетическая реставрация зубов
Фото после
Фото до
Протезирование зубов
Фото после
Фото до
Протезирование зубов

Наши врачи

Наша команда — наше преимущество.
Мы собрали команду профессионалов: ответственных, компетентных, любящих своих пациентов. Специалисты Вэладент — это эксперты в своей области, обладающие глубокими научными знаниями и мастерством.

Отзывы

Елена
28 Август 2024
Ортопедия
Выражаю огромную благодарность всему коллективу клиники на Бейвеля,6, каждому сотруднику. Особенно Евгению Валерьевичу Кудряшову,Ларисе Олеговне Рульковой и Евгении Сергеевне Косолаповой за профессионализм, отзывчивость, доброту. В процессе своей работы разговаривают, все доступно объясняют. Не больно и не страшно! Спасибо куратору Екатерине, девочкам администраторам Анастасии и Юлии за доброжелательность.Долгих лет службы, процветания, здоровья и успехов
Пациент
24 Август 2024
Ортопедия
Знакома с Евгением Васильевичем уже много лет. Самый чуткий и нежный врач! Засыпаю во время приёма! Спасибо за искренность! Побольше бы таких специалистов и мир станет добрее и здоровей!
Наталья
7 Август 2024
Ортопедия
Добрый день, хочу выразить благодарность заведующему отделением Панкову Юрию Евгеньевичу. Компетентность и высокий уровень профессионализма изменили мое отношение к протезированию в принципе. Даже не предполагала, что в Челябинске есть такого уровня специалисты. Огромное Вам спасибо за терпение, кропотливость и отличный результат. Всем друзьям и коллегам рекомендую только этого врача. И да, цены в клинике средние по рынку. Наталья
Чупис Константин Эдуардович
3 Август 2024
Ортопедия
Впервые. С меня деньги дерут, а я не знаю, как отблагодарить. В 2017 году случайно убедили зайти на осмотр, уже совсем плохо было, пошел. Малышева Людмила Юрьевна и Панков Юрий Евгеньевич. осмотр и потом удаление 15 зубов - 9 нижняя и 6 верхняя ( в 2 приема). Потом все долго рассказывать - 2022 - две челюсти - живу и радуюсь.
Николай
30 Июль 2024
Ортопедия
Отзыв для для двух прекрасных стоматологов Вэладента. Рулькова Лариса Олеговна и Савельев Никита Валерьевич. Они сделали мне прекрасные зубы на имплантах. Весь процесс занял достаточно времени, но результат того стоит. Благодаря им, в какой то степени они действительно повернули время вспять для меня. У Ларисы сильные женские руки, она действительно специалист имплантолог знающий свое дело . С Никитой сразу возникло доверительное отношение, он очень грамотный ортопед. Ребята молодые, классные специалисты своего дела, они сделали мне отличные зубы. СПАСИБО Вам большое.
Борисова В.Б.
21 Июль 2024
Ортопедия
Уходящий год познакомил меня с командой клиники "Веладент" в лице Малышевой Людмилы Юрьевны и Панкова Юрия Евгеньевича. Очень долго искала замену прежней клинике, где ставка делается на деньги. Мне уже казалось, что мой случай с зубами какой-то уникальный и не поддающийся лечению. Но все сомнения и страхи развеяли профессионализм и внимательность Людмилы Юрьевны. Я очень довольна проделанной работой и полученным результатом. Теперь всем друзьям и знакомым буду рекомендовать только вас. А администрацию клиники "Веладент" хочу просить беречь и ценить Людмилу Юрьевну))С наступающим Новым годом! Здоровья вам и вашим близким, хороших пациентов.
Елена
21 Июль 2024
Ортопедия
Большое спасибо чудесному коллективу по ул. Бейвеля,6. Огромная благодарность Евгению Валерьевичу Кудряшову. Я трусиха, но страх испаряется через несколько минут общения с доброжелательным доктором. Спасибо за терпение и трудоемкий процесс восстановления моих зубов. Большая удача попасть к этому доктору. Также хочу выразить благодарность Евгении Сергеевне Косолаповой за проведенный комплекс гигиены. Спасибо за бережное отношение, доброту и качество. Еще раз хочу поблагодарить Ларису Олеговну Рулькову за установленные импланты. Все на высшем уровне! Спасибо куратору Екатерине за понимание и доброе отношение, а также девочках администраторам ( чаще виделась с Анастасией) за быстрое обслуживание и внимательность. Доброго всем здоровья и долгих лет!
Филиппова Евгения
19 Июль 2024
Ортопедия
Обращаясь во многие клиники,получая консультации, я приняла окончательно решение по протезированию зубов в пользу "Веладент". И не ошиблась!А теперь искренние слова благодарности Тиграну Сергеевичу Налбандян, Юрию Евгеньевичу Панкову за огромный объём работы, которая, на мой взгляд, была выполнена профессионально, легко, не причиняя боли. Было всегда доброе, внимательное, корректное, позитивное отношение ко мне. В работе всегда чувствовался профессионализм и сдержанность. Никакой суеты. Спасибо за таких профессионалов!Работа административного персонала отличается достоинством, уравновешенностью. Очень благодарю вашего сотрудника Ольгу Валерьевну Жуковец за оперативность, деликатность, доброту, душевность, за консультации по любым стоматологическим и финансовым вопросам. Благодарю за ненавязчивый, не лакейский сервис. Все было профессионально! И, как говорится, попробуй все и выбери лучшее. Я не фантом, можете со мной поговорить и увидеть результат работы врачей. Можете интересоваться. "Нас меняют не люди, а улыбка". Это про вашу работу.
Пациент
11 Июль 2024
Ортопедия
Хочу выразить огромное благодарность Голдину Евгению Васильевичу. Доктор от Бога! Советую всем. Очень тактичный, вежливый, профессионал, вежливый, профессионал своего дела. Доктор просто супер. Столько спас зубов, сделал красивую улыбку. Я очень счастлива и довольная результатом. Евгений Васильевич – вы самый лучший! Мы всегда за вами, как «хвостики». Спасибо огромное! Вы исполнили мою мечту!
Пациент
27 Июнь 2024
Ортопедия
С удовольствием рекомендую клинику ВэлаДент на Бейвеля,6. Молодая, профессиональная команда врачей во главе с ортопедом, главным врачом Евгением Валерьевичем! Сам умничка, грамотный, вовлеченный истинный руководитель и тот самый добрый Доктор)), качественные услуги, правильное отношение к пациентам, клиентоориентированность. Высшая оценка! Всех благ! Благодарю за оказанную помощь! До новых встреч. Рекомендую вам и всем дорогим и близким. Берите на вооружение и в ВэлаДэнт. Качество и гарантия.P.S. являюсь давним удовлетворённым пациентом, пришла после неудовлетворительного посещения другой клиники и не пожалела ни на миг, что попала в руки Евгения Валерьевич Кудряшова. Восторг!

Мы в СМИ

До чего стоматология дошла

До чего стоматология дошла: как искусственный интеллект помогает врачу-имплантологу и ортопеду

Даже безнадежный зуб можно восстановить: как спасают улыбки в клинике «Вэладент»

Интервью с главным врачом, стоматологом-ортопедом Евгением Кудряшовым

Новые зубы по старым ценам: в клинике «Вэладент» заморозили стоимость имплантации

И сделали большой запас импортных материалов

Записаться на прием

Записаться на прием через мессенджер
Напишите в любой мессенджер, наш специалист ответит на все вопросы и запишет вас на прием.
8 (351) 246-77-77
Записаться по Telegram