Вяткин Михаил Александрович

Вяткин Михаил Александрович

Стоматолог-ортодонт
10 лет
опыт работы

Михаил Александрович — стоматолог-ортодонт клиники Вэладент. Уже более 10 лет он помогает пациентам обрести здоровую и красивую улыбку, которой можно гордится. Михаил Александрович всегда обсуждает разные варианты лечения — от классических брекетов до прозрачных кап. Под его контролем ортодонтическое лечение проходит качественно и эффективно, а пациента остаются довольными результатом.

Оставить отзыв

Образование и повышение квалификации

  • Базовое образование: Уральский Государственный Медицинский Университет г. Екатеринбург, по специальности «Стоматология» в 2016 году.

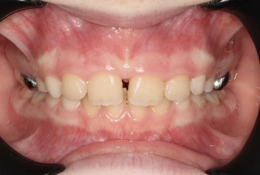
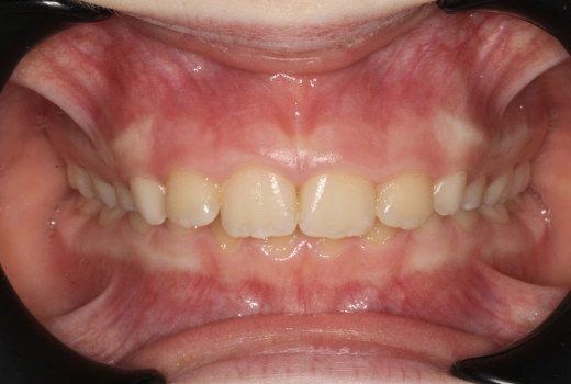
Фото работ

Фото после
Фото до
Исправление прикуса на брекетах

Цены

Брекеты
Брекеты
Консультация ортодонта
от 1 250 ₽
Металлические брекеты на 1 челюсть
от 68 500 ₽
Металлические безлигатурные брекеты на 1 челюсть
от 102 000 ₽
Керамические брекеты на 1 челюсть
от 109 000 ₽
Керамические безлигатурные брекеты на 1 челюсть
от 114 000 ₽
Элайнеры
от 400 000 ₽
Активация брекет-системы (частичная)
от 3 900 ₽
Брекеты для подростков от 12 лет
от 68 500 ₽

Отзывы

Романов Вадим
20 Февраль 2023
Ортодонтия
Был на консультации, сделали панарамный снимок, очень подробно рассказал суть моей проблемы с прикусом, и сказал что делать дальше, и что будет если не решить эту проблему.
Евгения Игоревна
16 Февраль 2023
Ортодонтия
Здравствуйте! Хочу выразить признательность и благодарность коллективу на Бейвеля,6. Обращалась в клинику после взаимодействия со стоматологией СитиСмайл и крайней неприятной историей, связанной с оказанием услуг не должным образом с последующим обращением в Роспотребнадзор. После чего приняла решение обратиться в ВэлаДэнт. Попала на прием к Вяткину Михаилу Александровичу, причем удачно. Все предельно грамотно и доходчиво мне пояснили, направили на повторное обследование, все вопросы, требующие дополнительного внимания, рассмотрели, Евгений Валерьевич обрисовал все предстоящие перспективы, был предельно корректен и профессионален, совместно с его помощником. Очень приятные впечатления, ребята молодые, профессиональные, с правильным подходом к платной медицине. Вниманию руководства - обязательно удерживайте и поощряйте любым способом таких сотрудников, они делают ваш бизнес и наше здоровье. Михаил Александрович, отдельная благодарность и почтение. Молодцы! Благодарю за помощь!
Записаться по Telegram